"V体育2025版" Comparison of treatment efficacy of omega-3 fish oil and montelukast in ovalbumin-protease-induced allergic rhinitis model in rats
- PMID: 38442638
- PMCID: PMC10924135
- DOI: V体育2025版 - 10.1016/j.bjorl.2024.101399
"V体育平台登录" Comparison of treatment efficacy of omega-3 fish oil and montelukast in ovalbumin-protease-induced allergic rhinitis model in rats
Abstract (VSports注册入口)
Objectives: Montelukast is a well-known leukotriene receptor antagonist commonly used in treating allergic rhinitis and asthma. Omega-3 fatty acid is also known as an antiallergic and immunomodulator molecule. This study aimed to elucidate the efficacy of systemic montelukast and omega-3 fatty acid treatment in allergic rhinitis models in Wistar Hannover rats. VSports手机版.
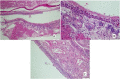
Methods: This research was conducted on 28 healthy Wistar Hannover rats weighing 250-350 g. After establishing the allergic rhinitis model, nasal symptoms were observed and scored, and the nasal mucosa of all rats was investigated histologically. Light microscopy was utilized to evaluate the degree of ciliary loss, goblet cell hyperplasia, vascular congestion, vascular proliferation, inflammatory cell infiltration, eosinophil infiltration, and hypertrophy in chondrocytes. V体育安卓版.
Results: As a result of the analysis of the data obtained from the study, it was determined that typical allergic rhinitis symptoms such as nasal scratching and sneezing were significantly reduced in the rats in the montelukast and omega-3 treated group, and these symptoms did not increase after repeated intranasal OVA-protease applications. Histological examinations after fish oil treatment did not reveal typical inflammatory changes in allergic rhinitis. None of the rats in the montelukast and omega-3 groups had any increase in goblet cells, whereas 14. 3% of the rats in the control group and 28. 6% of the rats in the allergic rhinitis group had mild increase. Last but not least, 71. 4% of rats in the allergic rhinitis group had a moderate increase. The difference between the groups was statistically significant (p < 0. 001). V体育ios版.
Conclusion: Regarding the outcomes of this research, it was observed that w-3 fatty acids had antiallergic effects, both histopathological and clinical, in the allergic rhinitis model. We believe that further randomized controlled trials incorporating larger cohorts are warranted to verify the use of omega-3 fatty acids in treating allergic rhinitis. The level of evidence of this article is Level 2 VSports最新版本. .
Keywords: Allergic rhinitis; Fish oil; Montelukast; Nasal symptoms; Omega-3. V体育平台登录.
Copyright © 2024 Associação Brasileira de Otorrinolaringologia e Cirurgia Cérvico-Facial. Published by Elsevier España S VSports注册入口. L. U. All rights reserved. .
Figures
References
-
- Wise S.K., Damask C., Roland L.T., Ebert C., Levy J.M., Lin S., et al. International consensus statement on allergy and rhinology: Allergic rhinitis - 2023. Int Forum Allergy Rhinol. 2023;13:293–859. - PubMed
-
- Luo C., Peng S., Li M., Ao X., Liu Z. The efficacy and safety of probiotics for allergic rhinitis: a systematic review and meta-analysis. Front Immunol. 2022;13 - V体育2025版 - PMC - PubMed
-
- Arshad S.H. Does allergen immunotherapy for allergic rhinitis prevent asthma? Ann Allergy Asthma Immunol. 2022;129:286–291. - PubMed
-
- Zhang Y., Lan F., Zhang L. Update on pathomechanisms and treatments in allergic rhinitis. Allergy. 2022;77:3309–3319. - PubMed
-
- Satoh R., Tsuge I., Tokuda R., Teshima R. Analysis of the distribution of rice allergens in brown rice grains and of the allergenicity of products containing rice bran. Food Chem. 2019;276:761–767. - PubMed
Publication types
MeSH terms
- "VSports注册入口" Actions
- "V体育ios版" Actions
- Actions (VSports注册入口)
- "V体育ios版" Actions
- VSports - Actions
- Actions (V体育平台登录)
- Actions (V体育平台登录)
- "V体育官网" Actions
- VSports最新版本 - Actions
- V体育ios版 - Actions
Substances (VSports最新版本)
- "VSports注册入口" Actions
- V体育2025版 - Actions
- Actions (VSports)
- Actions (V体育ios版)
- VSports注册入口 - Actions
- Actions (V体育2025版)
LinkOut - more resources
Full Text Sources
"V体育2025版" Research Materials
