Skip to main page content
U.S. flag

An official website of the United States government

Dot gov

The . gov means it’s official. Federal government websites often end in . gov or . mil VSports app下载. Before sharing sensitive information, make sure you’re on a federal government site. .

Https

The site is secure V体育官网. The https:// ensures that you are connecting to the official website and that any information you provide is encrypted and transmitted securely. .

Case Reports
. 2023 Feb 28;15(2):e35597.
doi: 10.7759/cureus.35597. eCollection 2023 Feb.

Acute Case of Trichobezoar Diagnosed From Computed Tomography and 3D Images: Rapunzel Syndrome Re-examined

Affiliations
Case Reports

Acute Case of Trichobezoar Diagnosed From Computed Tomography and 3D Images: Rapunzel Syndrome Re-examined

Cynthia Kyin et al. Cureus. .

"VSports app下载" Abstract

A trichobezoar is a rare cause of abdominal pain due to an indigestible mass in the gastrointestinal tract that is composed of a patient's hair. If a trichobezoar grows and extends from the gastric body to the pylorus and into the small bowel, it is considered Rapunzel syndrome. We present a case of an 11-year-old female patient with Rapunzel syndrome who presented with four weeks of colicky abdominal pain, vomiting, constipation, and severe malnutrition. Computed tomography of the abdomen and pelvis with 3D rendering demonstrated a large bezoar, and the patient was successfully treated with exploratory laparotomy, gastrostomy, and removal of the trichobezoar intact VSports手机版. .

Keywords: 3d ct scan; gastric bezoar; pediatric lap. surgery; rapunzel syndrome; trichotillomania. V体育安卓版.

PubMed Disclaimer

Conflict of interest statement (VSports手机版)

The authors have declared that no competing interests exist.

"V体育安卓版" Figures

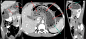
Figure 1
Figure 1. Computed tomography images - coronal (A), axial (B) and sagittal (C) views of abdomen showing stomach bezoar (red arrows) extending through entire stomach (green arrows).
Figure 2
Figure 2. (A) 3D rendered image of surrounding organs and intestine showing stomach bezoar (blue) in the stomach (green) (B) isolated 3D rendered image of stomach bezoar (blue) within the stomach wall (green)
Figure 3
Figure 3. (A) Large gastric trichobezoar removed from the stomach. (B) Second fragment of the trichobezoar which extended through the pylorus.

References

    1. Acute presentation of rapunzel syndrome and a review of bezoars. Chin X, Ng JY. Cureus. 2021;13:0. - "VSports最新版本" PMC - PubMed
    1. A rare giant gastric trichobezoar in a young female patient: case report and review of the literature. Delimpaltadaki DG, Gkionis IG, Flamourakis ME, et al. Clin Case Rep. 2021;9:0. - PMC (V体育ios版) - PubMed
    1. Upper gastrointestinal manifestation of bezoars and the etiological factors: a literature review. Khan S, Jiang K, Zhu LP, et al. Gastroenterol Res Pract. 2019;2019:5698532. - PMC - PubMed
    1. Gastrointestinal bezoars: history and current treatment paradigms. Eng K, Kay M. https://www.ncbi.nlm.nih.gov/pmc/articles/PMC3966178/ Gastroenterol Hepatol (N Y) 2012;8:776–778. - PMC - PubMed
    1. The Rapunzel syndrome. An unusual complication of intestinal bezoar. Lopes LR, Oliveira PS, Pracucho EM, Camargo MA, Coelho Neto JD, Andreollo NA. "VSports注册入口" https://www.ncbi.nlm.nih.gov/pmc/articles/PMC2846351/#:~:text=The%20Rapu... Case Rep Med. 2010;2010:841028. - PMC - PubMed

Publication types