Endoscopic central airway recanalization to enable first line pembrolizumab treatment in a PD-L1 strongly positive non-small cell lung cancer: a case report
- PMID: 30832704
- PMCID: PMC6398224
- DOI: 10.1186/s13019-019-0862-6
"V体育官网" Endoscopic central airway recanalization to enable first line pembrolizumab treatment in a PD-L1 strongly positive non-small cell lung cancer: a case report
Abstract
Background: Tracheobronchial malignant stenosis is a life-threatening condition which may cause recurrent infections due to lung atelectasis. Despite immunotherapy is less toxic than standard chemotherapy, recurrent lung infections may represent a challenge for this treatment. We report a clinical case of a patient with metastatic squamous cell carcinoma suffering from pulmonary infections due to central airway obstruction who underwent endoscopic recanalization followed by immunotherapy. VSports手机版.
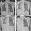
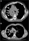
Case presentation: A 64 year-old man was referred to our attention for the management of metastatic squamous cell carcinoma obstructing the right main bronchus with recurrent pulmonary infections. Patient exhibited strong positive PD-L1 expression (> 50%) V体育安卓版. Advanced disease stage contraindicated surgical treatment. Although therapy with immune check point inhibitors was indicated as first-line treatment, recurrent pulmonary infections made it unfeasible. Therefore, we planned a combined approach including endoscopic recanalization of central airway in order to resolve lung atelectasis, and lung infection followed by immunotherapy treatment with pembrolizumab in order to avoid local and systemic disease progression. .
Conclusions: At 16-week follow-up, the patient was alive in stable disease with improvement of clinical condition and no signs of lung infection. V体育ios版.
Keywords: Endoscopic airway recanalization; Immunotherapy; NSCLC; PD-L1; Pembrolizumab VSports最新版本. .
Conflict of interest statement
Ethics approval and consent to participate
Patient signed an informed consent for the operation and was aware that his data could be used for scientific purpose.
Consent for publication
Patient was aware that his data could be used for scientific purpose.
Competing interests
The authors declare that they have no competing interests.
Publisher’s Note
Springer Nature remains neutral with regard to jurisdictional claims in published maps and institutional affiliations.
Figures




References
-
- Ost DE, Ernst A, Grosu HB, Lei X, Diaz-Mendoza J, Slade M, Gildea TR, MachuzakMS JCA, Toth J, Kovitz KL, Ray C, Greenhill S, Casal RF, Almeida FA, Wahidi MM, Eapen GA, Feller-Kopman D, Morice RC, Benzaquen S, Tremblay A. SimoffM; AQuIRE bronchoscopy registry.Therapeutic bronchoscopy for malignant centralairway obstruction: success rates and impact on dyspnea and quality of life. Chest. 2015;147(5):1282–1298. doi: 10.1378/chest.14-1526. - DOI - PMC - PubMed
-
- Stratakos G, Gerovasili V, Dimitropoulos C, Giozos I, Filippidis FT, Gennimata S, Zarogoulidis P, Zissimopoulos A, Pataka A, Koufos N, Zakynthinos S, Syrigos K, Koulouris N. Survival and quality of life benefit after endoscopic Management of Malignant Central Airway Obstruction. J Cancer. 2016;7(7):794–802. doi: 10.7150/jca.15097. - DOI - PMC - PubMed
-
- Reck M, Rodríguez-Abreu D, Robinson AG, Hui R, Csőszi T, Fülöp A, Gottfried M, Peled N, Tafreshi A, Cuffe S, O'Brien M, Rao S, Hotta K, Leiby MA, Lubiniecki GM, Shentu Y, Rangwala R, Brahmer JR. KEYNOTE-024 investigators. Pembrolizumab versus chemotherapy for PD-L1-positive non-small-cell lung Cancer. N Engl J Med. 2016;375(19):1823–1833. doi: 10.1056/NEJMoa1606774. - DOI - PubMed
"V体育官网" Publication types
VSports - MeSH terms
- Actions (V体育2025版)
- "VSports app下载" Actions
- "V体育官网" Actions
- "V体育安卓版" Actions
- V体育官网入口 - Actions
- Actions (VSports手机版)
Substances (VSports手机版)
- V体育平台登录 - Actions
- Actions (VSports手机版)
"VSports在线直播" LinkOut - more resources
VSports - Full Text Sources
Medical
Research Materials