Congenital lactose intolerance is triggered by severe mutations on both alleles of the lactase gene
- PMID: 25881162
- PMCID: "V体育平台登录" PMC4432517
- DOI: 10.1186/s12876-015-0261-y
V体育安卓版 - Congenital lactose intolerance is triggered by severe mutations on both alleles of the lactase gene
Abstract
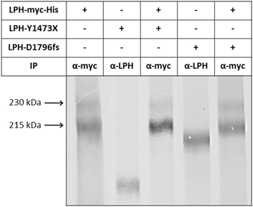
Background: Congenital lactase deficiency (CLD) is a rare severe autosomal recessive disorder, with symptoms like watery diarrhea, meteorism and malnutrition, which start a few days after birth by the onset of nursing. The most common rationales identified for this disorder are missense mutations or premature stop codons in the coding region of the lactase-phlorizin hydrolase (LPH) gene. Recently, two heterozygous mutations, c. 4419C > G (p. Y1473X) in exon 10 and c. 5387delA (p. D1796fs) in exon 16, have been identified within the coding region of LPH in a Japanese infant with CLD VSports手机版. .
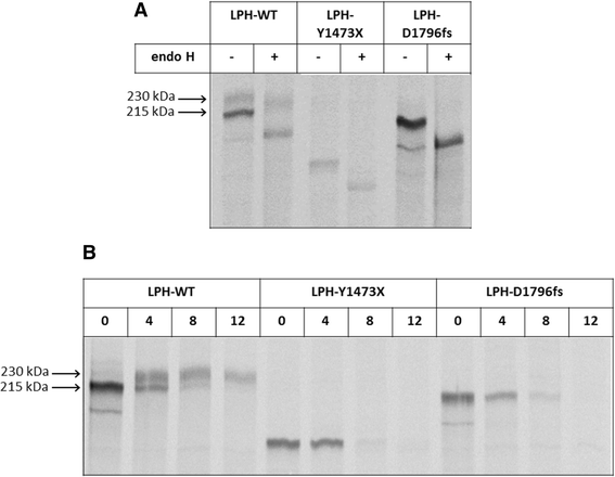
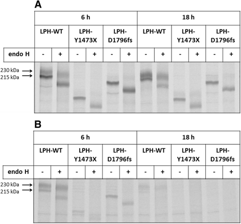
Methods: Here, we investigate the influence of these mutations on the structure, biosynthesis and function of LPH V体育安卓版. Therefore the mutant genes were transiently expressed in COS-1 cells. .
Results: We show that both mutant proteins are mannose-rich glycosylated proteins that are not capable of exiting the endoplasmic reticulum. These mutant proteins are misfolded and turnover studies show that they are ultimately degraded. The enzymatic activities of these mutant forms are not detectable, despite the presence of lactase and phlorizin active sites in the polypeptide backbone of LPH-D1796fs and LPH-Y1473X respectively V体育ios版. Interestingly, wild type LPH retains its complete enzymatic activity and intracellular transport competence in the presence of the pathogenic mutants suggesting that heterozygote carriers presumably do not show symptoms related to CLD. .
Conclusions: Our study strongly suggests that the onset of severe forms of CLD is elicited by mutations in the LPH gene that occur in either a compound heterozygous or homozygous pattern of inheritance. VSports最新版本.
Figures
References
-
- Lifshitz F. Congenital lactase deficiency. J Pediatr. 1966;69:229–37. doi: 10.1016/S0022-3476(66)80325-6. - DOI (VSports在线直播) - PubMed
-
- Uchida N, Sakamoto O, Irie M, Abukawa D, Takeyama J, Kure S, et al. Two novel mutations in the lactase gene in a Japanese infant with congenital lactase deficiency. Tohoku J Exp Med. 2012;227:69–72. doi: 10.1620/tjem.227.69. - V体育平台登录 - DOI - PubMed
-
- Behrendt M, Keiser M, Hoch M, Naim HY. Impaired trafficking and subcellular localization of a mutant lactase associated with congenital lactase deficiency. Gastroenterology. 2009;136:2295–303. doi: 10.1053/j.gastro.2009.01.041. - DOI (VSports在线直播) - PubMed
MeSH terms
- VSports最新版本 - Actions
- "VSports注册入口" Actions
- "VSports在线直播" Actions
- "V体育官网入口" Actions
- "V体育2025版" Actions
- VSports手机版 - Actions
- Actions (V体育官网)
- "VSports注册入口" Actions
- "VSports手机版" Actions
- "VSports最新版本" Actions
"VSports app下载" Substances
- V体育安卓版 - Actions
V体育安卓版 - Supplementary concepts
- "V体育ios版" Actions
VSports手机版 - LinkOut - more resources
Full Text Sources
VSports手机版 - Other Literature Sources
Medical
VSports注册入口 - Molecular Biology Databases
