Mitochondrial carnitine palmitoyltransferase 1a (CPT1a) is part of an outer membrane fatty acid transfer complex (V体育官网入口)
- PMID: 21622568
- PMCID: "V体育安卓版" PMC3138250
- DOI: 10.1074/jbc.M111.228692
Mitochondrial carnitine palmitoyltransferase 1a (CPT1a) is part of an outer membrane fatty acid transfer complex
"VSports最新版本" Abstract
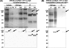
CPT1a (carnitine palmitoyltransferase 1a) in the liver mitochondrial outer membrane (MOM) catalyzes the primary regulated step in overall mitochondrial fatty acid oxidation. It has been suggested that the fundamental unit of CPT1a exists as a trimer, which, under native conditions, could form a dimer of the trimers, creating a hexamer channel for acylcarnitine translocation. To examine the state of CPT1a in the MOM, we employed a combined approach of sizing by mass and isolation using an immunological method. Blue native electrophoresis followed by detection with immunoblotting and mass spectrometry identified large molecular mass complexes that contained not only CPT1a but also long chain acyl-CoA synthetase (ACSL) and the voltage-dependent anion channel (VDAC). Immunoprecipitation with antisera against the proteins revealed a strong interaction between the three proteins VSports手机版. Immobilized CPT1a-specific antibodies immunocaptured not only CPT1a but also ACSL and VDAC, further strengthening findings with blue native electrophoresis and immunoprecipitation. This study shows strong protein-protein interaction between CPT1a, ACSL, and VDAC. We propose that this complex transfers activated fatty acids through the MOM. .
Figures




"V体育ios版" References
-
- Bhuiyan J., Pritchard P. H., Pande S. V., Seccombe D. W. (1995) Metabolism 44, 1185–1189 - PubMed
-
- Pusnik M., Charrière F., Mäser P., Waller R. F., Dagley M. J., Lithgow T., Schneider A. (2009) Mol. Biol. Evol. 26, 671–680 - PubMed
-
- Turkaly P., Kerner J., Hoppel C. (1999) FEBS Lett. 460, 241–245 - PubMed
-
- Felgner P. L., Messer J. L., Wilson J. E. (1979) J. Biol. Chem. 254, 4946–4949 - "V体育官网" PubMed
-
- König T., Stipani I., Horvàth I., Palmieri F. (1982) J. Bioenerg. Biomembr. 14, 297–305 - "V体育2025版" PubMed
VSports在线直播 - Publication types
- V体育ios版 - Actions
MeSH terms (VSports最新版本)
- Actions (VSports在线直播)
- "V体育安卓版" Actions
- VSports - Actions
- "V体育ios版" Actions
- "V体育ios版" Actions
- "VSports" Actions
- "V体育官网入口" Actions
- "V体育2025版" Actions
- "VSports app下载" Actions
- V体育2025版 - Actions
- Actions (VSports最新版本)
Substances
- "VSports注册入口" Actions
- "VSports在线直播" Actions
VSports在线直播 - Grants and funding
LinkOut - more resources
Full Text Sources
Molecular Biology Databases