Skip to main page content
U.S. flag

An official website of the United States government

Dot gov

The VSports app下载. gov means it’s official. Federal government websites often end in . gov or . mil. Before sharing sensitive information, make sure you’re on a federal government site. .

Https

The site is secure V体育官网. The https:// ensures that you are connecting to the official website and that any information you provide is encrypted and transmitted securely. .

Case Reports
. 2010 Apr-Jun;14(2):259-62.
doi: 10.4293/108680810X12785289144520.

"VSports app下载" Laparoscopic intragastric removal of giant trichobezoar

Affiliations
Case Reports

Laparoscopic intragastric removal of giant trichobezoar (VSports手机版)

Harry F Dorn (V体育平台登录) et al. JSLS. 2010 Apr-Jun.

Abstract

Background and objectives: Gastric bezoars are a rare clinical entity, most commonly observed in patients with mental or emotional illness VSports手机版. Large bezoars can be difficult to remove laparoscopically without extending a port incision. .

Methods: We report the case of a large symptomatic trichobezoar with Rapunzel syndrome that occurred in a 17-year-old girl who had trichotillomania V体育安卓版. .

Results: The bezoar was removed laparoscopically, in piecemeal fashion, through a gastrotomy port. This procedure did not require an extension of any incision, nor did it require the contents of the stomach to directly touch the incision, thereby reducing the risk of infection V体育ios版. The patient was discharged home, on the fourth postoperative day, free of any complications. .

Conclusion: This case illustrates the safety of the laparoscopic approach in the removal of large gastric bezoars VSports最新版本. In considering use of this approach, the potentially long operative time must be weighed against the benefits of both minimal risk of infection and minimal incisions. .

PubMed Disclaimer

"V体育平台登录" Figures

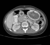
Figure 1.
Figure 1.
Axial computed tomography demonstrating bezoar obstructing entire lumen of stomach.
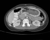
Figure 2.
Figure 2.
Axial computed tomography demonstrating gastric bezoar in lumen of stomach with extension to duodenum.
Figure 3.
Figure 3.
Intraoperative photograph demonstrating gastrotomy with stomach apposed to abdominal wall.
Figure 4.
Figure 4.
Intraoperative photograph demonstrating trichobezoar in lumen of stomach.
Figure 5.
Figure 5.
Total gastric trichobezoar removed. Ruler shown is 15 cm.

References

    1. Diagnostic and statistical manual of mental disorders. 4th ed. Washington, DC: American Psychiatric Association, 2000
    1. Frey AS, McKee M, King RA, Martin A. Hair apparent: Rapunzel syndrome. Am J Psychiatry. 2005;162:242–248 - PubMed
    1. Baudamant WW. Memoire sur des cheveux trouves dans l'estomac et dans les intestines grêles. J Med Chir Pharm. 1779;52:507–514
    1. Beck AR, Kim SK. Multiple small bowel perforations: an unusual complication of trichobezoar. Mt Sinai J Med. 1972;39:293–299 - PubMed
    1. Hoover K, Piotrowski J, Pierre K, Katz A, Goldstein AM. Simultaneous gastric and small intestinal trichobezoars—a hairy problem. J Pediatr Surg. 2006;41:1495–1497 - PubMed

Publication types

VSports - LinkOut - more resources