A case report of long-term successful stereotactic arrhythmia radioablation in a cardiac contractility modulation device carrier with giant left atrium, including a detailed dosimetric analysis
- PMID: 36072883
- PMCID: PMC9441661
- DOI: "VSports" 10.3389/fcvm.2022.934686
A case report of long-term successful stereotactic arrhythmia radioablation in a cardiac contractility modulation device carrier with giant left atrium, including a detailed dosimetric analysis (VSports注册入口)
"V体育ios版" Abstract
Introduction: Catheter ablation (CA) is the current standard of care for patients suffering drug-refractory monomorphic ventricular tachycardias (MMVTs). Yet, despite significant technological improvements, recurrences remain common, leading to increased morbidity and mortality VSports手机版. Stereotactic arrhythmia radioablation (STAR) is increasingly being adopted to overcome the limitations of conventional CA, but its safety and efficacy are still under evaluation. .
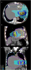
Case presentation: We hereby present the case of a 73-year-old patient implanted with a mitral valve prosthesis, a cardiac resynchronization therapy-defibrillator, and a cardiac contractility modulation device, who was successfully treated with STAR for recurrent drug and CA-resistant MMVT in the setting of advanced heart failure and a giant left atrium V体育安卓版. We report a 2-year follow-up and a detailed dosimetric analysis. .
Conclusion: Our case report supports the early as well as the long-term efficacy of 25 Gy single-session STAR. Despite the concomitant severe heart failure, with an overall heart minus planned target volume mean dosage below 5 Gy, no major detrimental cardiac side effects were detected V体育ios版. To the best of our knowledge, our dosimetric analysis is the most accurate reported so far in the setting of STAR, particularly for what concerns cardiac substructures and coronary arteries. A shared dosimetric planning among centers performing STAR will be crucial in the next future to fully disclose its safety profile. .
Keywords: cardiac contractility modulation; case report; radiotherapy; stereotactic body radiation therapy; ventricular tachycardia. VSports最新版本.
Copyright © 2022 Levis, Dusi, Magnano, Cerrato, Gallio, Depaoli, Ferraris, De Ferrari, Ricardi and Anselmino. V体育平台登录.
Conflict of interest statement
The authors declare that the research was conducted in the absence of any commercial or financial relationships that could be construed as a potential conflict of interest.
"V体育官网" Figures
References (V体育官网)
-
- Cronin EM, Bogun FM, Maury P, Peichl P, Chen M, Namboodiri N, et al. . 2019 HRS/EHRA/APHRS/LAHRS expert consensus statement on catheter ablation of ventricular arrhythmias. Europace. (2019) 21:1143–4. 10.1093/europace/euz132 - "VSports最新版本" DOI - PMC - PubMed
-
- Gianni C, Mohanty S, Trivedi C, Di Biase L, Al-Ahmad A, Natale A, et al. . Alternative approaches for ablation of resistant ventricular tachycardia. Card Electrophysiol Clin. (2017) 9:93–8. 10.1016/j.ccep.2016.10.006 - "VSports最新版本" DOI - PubMed
-
- Tung R, Vaseghi M, Frankel DS, Vergara P, Di Biase L, Nagashima K, et al. . Freedom from recurrent ventricular tachycardia after catheter ablation is associated with improved survival in patients with structural heart disease: an International VT Ablation Center Collaborative Group study. Heart Rhythm. (2015) 12:1997–2007. 10.1016/j.hrthm.2015.05.036 - DOI - PMC - PubMed
-
- Dusi V, Gornbein J, Do DH, Sorg JM, Khakpour H, Krokhaleva Y, et al. . Arrhythmic risk profile and outcomes of patients undergoing cardiac sympathetic denervation for recurrent monomorphic ventricular tachycardia after ablation. J Am Heart Assoc. (2021) 10:e018371. 10.1161/JAHA.120.018371 - DOI - PMC - PubMed
Publication types
- Actions (V体育安卓版)
LinkOut - more resources (VSports app下载)
Full Text Sources
