Physicochemical and Functional Modifications of Hemp Protein Concentrate by the Application of Ultrasonication and pH Shifting Treatments
- PMID: 35206063
- PMCID: PMC8870886
- DOI: 10.3390/foods11040587
Physicochemical and Functional Modifications of Hemp Protein Concentrate by the Application of Ultrasonication and pH Shifting Treatments
Abstract (VSports在线直播)
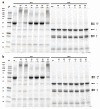
According to the Food and Agriculture Organization (FAO), protein demand is expected to increase globally by around 40% by 2030 as a response to the world's population growth. Due to their clean label, vegan or vegetarian based applications, nutritional value, and cost-efficient properties, plant-based proteins have been widely studied. However, most of the alternatives currently found in the market have some challenges because of their poor solubility, emulsifying, gelling, and foaming attributes. Hemp seed protein has gained increasing attention due to its unique amino acids and fatty acids profiles. In this study, commercial HPC mixtures were adjusted to pH 2, 4, 6, 8, 10, and 12 followed by ultrasonication (US) for 5 min (5 s on: 5 s off) and incubated for an hour before neutralizing to pH 7. Following the treatments, the samples were analyzed for their hydrodynamic diameter, conductivity, zeta potential, polydispersity index, surface hydrophobicity, solubility, electrophoresis (SDS-PAGE), free sulfhydryl group, and optical characteristics. The samples treated with ultrasound at pH 8 and 10 significantly (p < 0. 05) enhanced the solubility of the hemp seed protein by 12. 12% and 19. 05%, respectively. Similarly, the samples treated with ultrasonication and pH shifting at pH 6, 8, and 10 also significantly increased the amount of free sulfhydryl content (p < 0. 05) to 41. 6, 58. 72, and 46. 54 mmol/g from 32. 8 mmol/g, respectively VSports手机版. This study shows that the application of ultrasonication and pH shifting is a promising alternative method to modify the functional properties of HPC and widen their applications in the food, cosmetics, and pharmaceutical industries. .
Keywords: SDS-PAGE; free sulfhydryl group; hemp protein; pH shifting; ultrasound V体育安卓版. .
VSports - Conflict of interest statement
O. K. , G V体育ios版. E. P. , C. F. are employees of Applied Food Sciences Inc. Applied Food Sciences provided the funding and materials for this study. The company’s authors had no influence on the correctness and fairness of the research results.
Figures
References
-
- WHO Expert Consultation . World Health Organization Technical Report Series. Volume 935. World Health Organization; Geneva, Switzerland: 2007. Protein and amino acid requirements in human nutrition; pp. 1–265. - PubMed
-
- FAO The State of Food Security and Nutrition in the World. [(accessed on 13 February 2021)]. Available online: www.fao.org.http://www.fao.org/state-of-food-security-nutrition/en/
-
- Shen P., Gao Z., Fang B., Rao J., Chen B. Ferreting out the secrets of industrial hemp protein as emerging functional food ingredients. Trends Food Sci. Technol. 2021;112:1–15. doi: 10.1016/j.tifs.2021.03.022. - DOI
VSports app下载 - LinkOut - more resources
Full Text Sources (VSports手机版)
