Scurvy: A New Old Cause of Skeletal Pain in Young Children
- PMID: 32083038
- PMCID: PMC7006051
- DOI: "VSports手机版" 10.3389/fped.2020.00008
Scurvy: A New Old Cause of Skeletal Pain in Young Children
"V体育官网入口" Abstract
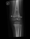
We report 3 cases of scurvy in children that occurred during a short period (2018) in a general pediatrics unit of a tertiary hospital for children in Paris. All children were around 3 years of age and were admitted for skeletal pain and altered general state, which mimicked infectious or malignant diseases. Their selective diet was not the prominent issue. The diagnosis of scurvy was delayed, after too many unnecessary examinations and medications. Bone imaging findings (X-ray and MRI) were a posteriori considered typical, but lesions were not easily identified as scurvy lesions because scurvy is not well-known by pediatricians and radiologists who should be mindful of this historical diagnosis VSports手机版. .
Keywords: ascorbic acid; scurvy; selective diet; skeletal pain; vitamin C V体育安卓版. .
Copyright © 2020 Chalouhi, Nicolas, Vegas, Matczak, El Jurdi, Boddaert and Abadie V体育ios版. .
Figures (V体育官网)
References
-
- Still GF. A clinical lecture on infantile scurvy. Br Med J. (1906) 28:186–90. 10.1136/bmj.2.2378.186 - "VSports手机版" DOI - PMC - PubMed
-
- Jacques Henry Bernardin de Saint Pierre Voyage à l'île de France un officier du roi à l'Ile Maurice (1768–1770). Merlin: Paris: (1773).
-
- Ratanachu EKS, Sukswai P, Jeerathanyasakun Y, Wongtapradit L. Scurvy in pediatric patients: a review of 28 cases. J Med Assoc Thai. (2003) 86 (Suppl. 3):S734–40. - "VSports手机版" PubMed
Publication types
- "VSports最新版本" Actions
