Important Role of FTO in the Survival of Rare Panresistant Triple-Negative Inflammatory Breast Cancer Cells Facing a Severe Metabolic Challenge
- PMID: 27390851
- PMCID: PMC4938613
- DOI: "VSports" 10.1371/journal.pone.0159072
Important Role of FTO in the Survival of Rare Panresistant Triple-Negative Inflammatory Breast Cancer Cells Facing a Severe Metabolic Challenge
"V体育官网入口" Abstract
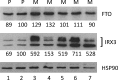
We have previously shown that only 0. 01% cells survive a metabolic challenge involving lack of glutamine in culture medium of SUM149 triple-negative Inflammatory Breast Cancer cell line. These cells, designated as SUM149-MA for metabolic adaptability, are resistant to chemotherapeutic drugs, and they efficiently metastasize to multiple organs in nude mice VSports手机版. We hypothesized that obesity-related molecular networks, which normally help in cellular and organismal survival under metabolic challenges, may help in the survival of MA cells. The fat mass and obesity-associated protein FTO is overexpressed in MA cells. Obesity-associated cis-acting elements in non-coding region of FTO regulate the expression of IRX3 gene, thus activating obesity networks. Here we found that IRX3 protein is significantly overexpressed in MA cells (5 to 6-fold) as compared to the parental SUM149 cell line, supporting our hypothesis. We also obtained evidence that additional key regulators of energy balance such as ARID5B, IRX5, and CUX1 P200 repressor could potentially help progenitor-like TNBC cells survive in glutamine-free medium. MO-I-500, a pharmacological inhibitor of FTO, significantly (>90%) inhibited survival and/or colony formation of SUM149-MA cells as compared to untreated cells or those treated with a control compound MO-I-100. Curiously, MO-I-500 treatment also led to decreased levels of FTO and IRX3 proteins in the SUM149 cells initially surviving in glutamine-free medium as compared to MO-I-100 treatment. Interestingly, MO-I-500 treatment had a relatively little effect on cell growth of either the SUM149 or SUM149-MA cell line when added to a complete medium containing glutamine that does not pose a metabolic challenge. Importantly, once selected and cultured in glutamine-free medium, SUM149-MA cells were no longer affected by MO-I-500 even in Gln-free medium. We conclude that panresistant MA cells contain interconnected molecular networks that govern developmental status and energy balance, and genetic and epigenetic alterations that are selected during cancer evolution. .
Conflict of interest statement
Figures
References
MeSH terms
- "VSports注册入口" Actions
- Actions (V体育官网入口)
- "VSports手机版" Actions
- "V体育安卓版" Actions
- Actions (V体育ios版)
- "VSports最新版本" Actions
- "V体育安卓版" Actions
- VSports最新版本 - Actions
- Actions (V体育安卓版)
- Actions (VSports在线直播)
Substances
- V体育平台登录 - Actions
- "V体育平台登录" Actions
- "VSports最新版本" Actions
- "VSports注册入口" Actions
Grants and funding (VSports手机版)
LinkOut - more resources
Full Text Sources
Other Literature Sources
Medical
