RNA interferences targeting the Fanconi anemia/BRCA pathway upstream genes reverse cisplatin resistance in drug-resistant lung cancer cells
- PMID: 26385482
- PMCID: PMC4575453
- DOI: 10.1186/s12929-015-0185-4
RNA interferences targeting the Fanconi anemia/BRCA pathway upstream genes reverse cisplatin resistance in drug-resistant lung cancer cells (V体育安卓版)
Abstract
Background: Cisplatin is one of the most commonly used chemotherapy agent for lung cancer. The therapeutic efficacy of cisplatin is limited by the development of resistance. In this study, we test the effect of RNA interference (RNAi) targeting Fanconi anemia (FA)/BRCA pathway upstream genes on the sensitivity of cisplatin-sensitive (A549 and SK-MES-1) and -resistant (A549/DDP) lung cancer cells to cisplatin. VSports手机版.
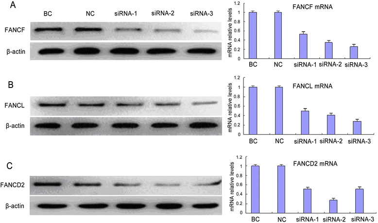
Result: Using small interfering RNA (siRNA), knockdown of FANCF, FANCL, or FANCD2 inhibited function of the FA/BRCA pathway in A549, A549/DDP and SK-MES-1 cells, and potentiated sensitivity of the three cells to cisplatin. The extent of proliferation inhibition induced by cisplatin after knockdown of FANCF and/or FANCL in A549/DDP cells was significantly greater than in A549 and SK-MES-1 cells, suggesting that depletion of FANCF and/or FANCL can reverse resistance of cisplatin-resistant lung cancer cells to cisplatin. Furthermore, knockdown of FANCL resulted in higher cisplatin sensitivity and dramatically elevated apoptosis rates compared with knockdown of FANCF in A549/DDP cells, indicating that FANCL play an important role in the repair of cisplatin-induced DNA damage. V体育安卓版.
Conclusion: Knockdown of FANCF, FANCL, or FANCD2 by RNAi could synergize the effect of cisplatin on suppressing cell proliferation in cisplatin-resistant lung cancer cells through inhibition of FA/BRCA pathway V体育ios版. .
Figures








References
-
- Boulikas T, Vougiouka M. Recent clinical trials using cisplatin, carboplatin and their combination chemotherapy drugs. Oncol Rep. 2004;11:559–595. - PubMed
-
- Chua YJ, Steer C, Yip D. Recent advances in management of small-cell lung cancer. Cancer Treat Rev. 2004;30:521–543. doi: 10.1016/j.ctrv.2004.06.003. - "VSports手机版" DOI - PubMed
-
- Schiller JH, Harington D, Balani CP, Langer C, Sandler A, Krook J, et al. Comparison of four chemotherapy regimens for advanced non-small cell lung cancer. N Engl J Med. 2002;346:92–8. - PubMed
-
- Li J, Dai C-H, Chen P, Wu J-N, Bao Q-L, Qiu H, et al. Survival and prognostic factors in small cell lung cancer. Med Oncol. 2010;27:73–81. - PubMed
Publication types
MeSH terms (VSports注册入口)
- V体育官网入口 - Actions
- Actions (VSports)
- "V体育ios版" Actions
- Actions (V体育2025版)
- Actions (V体育平台登录)
- Actions (V体育官网入口)
- "VSports app下载" Actions
- Actions (VSports)
- "VSports app下载" Actions
- Actions (V体育平台登录)
Substances (VSports在线直播)
- Actions (V体育官网)
- "VSports注册入口" Actions
LinkOut - more resources
Full Text Sources
Other Literature Sources
"VSports注册入口" Medical
Miscellaneous