Exercise improves import of 8-oxoguanine DNA glycosylase into the mitochondrial matrix of skeletal muscle and enhances the relative activity
- PMID: 18992806
- PMCID: "VSports在线直播" PMC3032603
- DOI: 10.1016/j.freeradbiomed.2008.10.022 (VSports)
Exercise improves import of 8-oxoguanine DNA glycosylase into the mitochondrial matrix of skeletal muscle and enhances the relative activity
Abstract (V体育ios版)
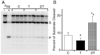
Exercise has been shown to modify the level/activity of the DNA damage repair enzyme 8-oxoguanine-DNA glycosylase (OGG1) in skeletal muscle. We have studied the impact of regular physical training (8 weeks of swimming) and detraining (8 weeks of rest after an 8-week training session) on the activity of OGG1 in the nucleus and mitochondria as well as its targeting to the mitochondrial matrix in skeletal muscle. Neither exercise training nor detraining altered the overall levels of reactive species; however, mitochondrial levels of carbonylated proteins were decreased in the trained group as assessed by electron spin resonance and biochemical approaches. Importantly, nuclear OGG1 activity was increased by daily exercise training, whereas detraining reversed the up-regulating effect of training. Interestingly, training decreased the outer-membrane-associated mitochondrial OGG1 levels, whereas detraining reversed this effect. These results suggest that exercise training improves OGG1 import into the mitochondrial matrix, thereby increasing OGG1-mediated repair of oxidized guanine bases VSports手机版. Taken together, our data suggest that physical inactivity could impair the mitochondrial targeting of OGG1; however, exercise training increases OGG1 levels/activity in the nucleus and specific activity of OGG1 in mitochondrial compartments, thereby augmenting the repair of oxidized nuclear and mitochondrial DNA bases. .
Figures







References
-
- Krokan HE, Nilsen H, Skorpen F, Otterlei M, Slupphaug G. Base excision repair of DNA in mammalian cells. FEBS Lett. 2000;476:73–77. - VSports最新版本 - PubMed
-
- Mitra S, Izumi T, Boldogh I, Bhakat KK, Hill JW, Hazra TK. Choreography of oxidative damage repair in mammalian genomes. Free Radic. Biol. Med. 2002;33:15–28. - PubMed
-
- Ikeda S, Biswas T, Roy R, Izumi T, Boldogh I, Kurosky A, Sarker AH, Seki S, Mitra S. Purification and characterization of human hNTH1, a homolog of Escherichia coli endonuclease III: direct identification of Lys-212 as the active nucleophilic residue. J. Biol. Chem. 1998;273:21585–21593. - PubMed (VSports注册入口)
-
- Slupska MM, Baiialov C, Luther WM, Chiang J-H, Wei YH, Miller JH. Cloning and sequencing a human homolog (hMYH) of the Escherichia coli mutY gene whose function is required for the repair of oxidative DNA damage. J. Bacteriol. 1996;178:3885–3892. - PMC (V体育2025版) - PubMed
Publication types
- "VSports手机版" Actions
"VSports app下载" MeSH terms
- Actions (VSports最新版本)
- Actions (V体育官网)
- V体育ios版 - Actions
- "VSports手机版" Actions
- "V体育官网入口" Actions
- VSports手机版 - Actions
- Actions (VSports最新版本)
- V体育ios版 - Actions
- "VSports最新版本" Actions
- V体育安卓版 - Actions
- Actions (VSports注册入口)
- V体育安卓版 - Actions
Substances (VSports最新版本)
- "VSports注册入口" Actions
Grants and funding
"VSports app下载" LinkOut - more resources
Full Text Sources
Molecular Biology Databases
Research Materials