Genes that distinguish physiological and pathological angiogenesis
- PMID: 17560335
- PMCID: "V体育ios版" PMC2039723
- DOI: 10.1016/j.ccr.2007.04.017
Genes that distinguish physiological and pathological angiogenesis
Abstract
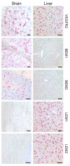
To unravel the normal vasculature transcriptome and determine how it is altered by neighboring malignant cells, we compared gene expression patterns of endothelial cells derived from the blood vessels of eight normal resting tissues, five tumors, and regenerating liver. Organ-specific endothelial genes were readily identified, including 27 from brain. We also identified 25 transcripts overexpressed in tumor versus normal endothelium, including 13 that were not found in the angiogenic endothelium of regenerating liver VSports手机版. Most of the shared angiogenesis genes have expected roles in cell-cycle control, but those specific for tumor endothelium were primarily cell surface molecules of uncertain function. These studies reveal striking differences between physiological and pathological angiogenesis potentially important for the development of tumor-specific, vascular-targeted therapies. .
Figures
Comment in (VSports手机版)
-
The potential of new tumor endothelium-specific markers for the development of antivascular therapy.Cancer Cell. 2007 Jun;11(6):478-81. doi: 10.1016/j.ccr.2007.05.004. Cancer Cell. 2007. PMID: 17560330
References
-
- Bradshaw HD., Jr. Molecular cloning and cell cycle-specific regulation of a functional human thymidine kinase gene. Proc Natl Acad Sci U S A. 1983;80:5588–5591. - "V体育ios版" PMC - PubMed
-
- Broll K, Richter G, Pauly S, Hofstaedter F, Schwarz H. CD137 expression in tumor vessel walls. High correlation with malignant tumors. Am J Clin Pathol. 2001;115:543–549. - PubMed
-
- Brooks PC, Clark RA, Cheresh DA. Requirement of vascular integrin alpha v beta 3 for angiogenesis. Science. 1994;264:569–571. - VSports注册入口 - PubMed
-
- Carmeliet P, Moons L, Luttun A, Vincenti V, Compernolle V, De Mol M, Wu Y, Bono F, Devy L, Beck H, et al. Synergism between vascular endothelial growth factor and placental growth factor contributes to angiogenesis and plasma extravasation in pathological conditions. Nat Med. 2001;7:575–583. - PubMed
-
- Carson-Walter EB, Watkins DN, Nanda A, Vogelstein B, Kinzler KW, St Croix B. Cell surface tumor endothelial markers are conserved in mice and humans. Cancer Res. 2001;61:6649–6655. - PubMed
Publication types
- VSports app下载 - Actions
MeSH terms
- VSports app下载 - Actions
- VSports app下载 - Actions
- Actions (V体育ios版)
- V体育2025版 - Actions
- Actions (VSports最新版本)
- Actions (V体育官网)
- V体育2025版 - Actions
- Actions (V体育ios版)
- "V体育平台登录" Actions
- V体育官网 - Actions
- "V体育ios版" Actions
"VSports在线直播" Substances
- "V体育平台登录" Actions
- VSports手机版 - Actions
V体育ios版 - Grants and funding
LinkOut - more resources
"V体育官网入口" Full Text Sources
Other Literature Sources
"V体育安卓版" Medical
Molecular Biology Databases
Research Materials (V体育安卓版)
